Salud Dental Para Todos

 

Periodontología Pricipal Gingivitis Periodontitis Patogenesis Perdida de inserción  Colonización subgingival Bacterias subgingivales Eliminación de  bacterias Patología periodontal  Tratamiento no quirurgico  Cicatrización  Cirugía  Gingivectomia  Procedimientos por colgajos

Periodontología Básica

Tratamiento no quirúrgico

Mujer de 60 años de edad  que ha desarrollado  enfermedad periodontal severa. Las profundidades de las bolsas al sondaje son de 5 a 8 mm y el examen radiográfico muestran que aproximadamente 50%  del hueso alveolar se ha perdido en el maxilar  superior. Las encías superiores muestran signos de inflamación severa.  Los rasgos clínicos no permiten un análisis de la anatomía de la destrucción periodontal.
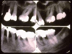
Los Rayos X de los dientes izquierdos en el mismo paciente. Aproximadamente se ha perdido el 50% del hueso alveolar. En distal de canino y en  los primeros premolares han perdido 2/3 del hueso alveolar. En los  molares la destrucción del hueso parece acercarse a apical y las raíces muestran signos de lesión de furcación en el primer y segundo molar superior e inferior. Los rasgos radiográficos no permiten un análisis detallado de la anatomía de la destrucción periodontal.
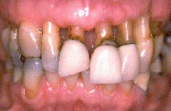
Mujer de 68 años de edad tratada por enfermedad periodontal por medio no quirúrgico (raspado y alisado radicular) seis años antes. El margen  gingival se ha retraído entre 3-5 mm y las profundidades de los surcos al sondaje es de  2 - 3 mm. Ella demuestra una higiene oral excelente y la progresión de la  enfermedad periodontal se ha detenido. Se observa signos de abrasión dental por el cepillado en los incisivos.
Mujer de 68 años de edad  que fue tratada por medio de tratamiento no quirúrgico (raspado y alisado radicular) hace ocho años. El margen  gingival se ha retraído entre 3-5 mm. Las profundidades de los surcos gingivales son 2-3 mm. Ella demuestra una higiene oral excelente y la progresión de enfermedad periodontal se ha detenido. Se observa evidencia de abrasión por el cepilldo dental. a lo largo del margen gingival.
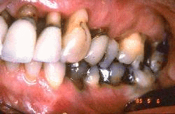
Esta imagen demuestra la condición después de 10 años. Las coronas anteriores se han rehecho. El paciente tiene una línea de la sonrisa baja y las líneas de preparación supragingival no perturban su estética. Ella ha mantenido un excelente control de placa bacteriana y no se obseva signos de enfermedad periodontal. La abrasión ocasionada por el cepillado dental ha aumentado. Ella acostumbra usar un cepillo suave y pasta dental no abrasiva para reducir el desgaste dental por el cepillado diario.
Estas imagenes fueron producidas  por Rolf Attstrom y la Asociación Dental Dinamarquesa en colaboración con  Video  Goof, Dinamarca. Cámara y videoediting Tommy Ols, Videocompiling y Grabación  Anders Nattestad
Rolf Attstrom ,  Professor and Chairman, Department of Periodontology, Centre for Oral Health Sciences, 21421 Malmo, Sweden.
Anders Nattestad  Palle Holmstrup
Publicado en Agosto de 1998 y actualizado en Noviembre de 1999
Traducción:  Marcelo A.  Iruretagoyena (Odontólogo) Licenciada Adriana Verón.