Salud Dental Para Todos

 

Periodontología Pricipal Gingivitis Periodontitis Patogenesis Perdida de inserción  Colonización  subgingival Bacterias subgingivales Eliminación de  bacterias Patología periodontal  Tratamiento no quirurgico  Cicatrización  Cirugía  Gingivectomia  Procedimientos por colgajos

Periodontologia Básica

 

Periodontitis

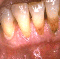
Mujer de 64 años de edad con enfermedad periodontal severa en los dientes antero inferiores. Las profundidades de bolsa al sondaje es de 5 a 8 mm. En el examen inicial se observa sangrado  y  flujo de pus al sondaje suave de la bolsa periodontal. La imagen ilustra el síntoma prominente de la enfermedad periodontal severa.
Al microscopio de luz tranmitida  se observa  una sección bucco-lingual de un diente y gingiva de un perro con periodontitis naturalmente ocurriendo. Una capa espesa de  cálculos en la  la superficie del diente y encima del cálculo una capa de placa bacteriana  dental. La placa se extiende profundamente en la región dento-gingival. adyacente a la la placa se observa una densa acumulación de leucocitos. En el centro del acúmulo de leucocitos  un absceso microscópico puede notarse. El absceso también involucra una parte del epitelio de la bolsa periodontal. La destrucción de la  gingiva y tejidos periodontales  esta  relacionada con el  descargo  de substancias perjudiciales provenientes de los leucocitos y los procesos inflamatorios.
Estas imagenes fueron producidas  por Rolf Attstrom y la Asociación Dental Dinamarquesa en colaboración con  Video  Goof, Dinamarca. Cámara y videoediting Tommy Ols, Videocompiling y Grabación  Anders Nattestad
Rolf Attstrom ,  Professor and Chairman, Department of Periodontology, Centre for Oral Health Sciences, 21421 Malmo, Sweden.
Anders Nattestad  Palle Holmstrup
Publicado en Agosto de 1998 y actualizado en Noviembre de 1999
Traducción:  Marcelo A.  Iruretagoyena (Odontólogo) Licenciada Adriana Verón.