Salud Dental Para Todos

   
         
   

 

 

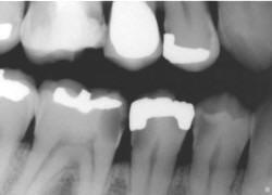
La información radiográfica contribuye significativamente a los hallazgos clínicos en términos del hallazgo de lesiones en diferentes estadíos de progresión (29,32) Las radiografías ayudan a estimar la profundidad de desmineralización por caries en el esmalte y la dentina. La profundidad no siempre está asociada con la presencia de cavidad de caries, en especial en superficies proximales.

Investigaciones clínicas que se realizaron en un país con una tasa baja de progresión de caries revelaron que, en promedio, el 32% de las lesiones visibles radiográficamente que se extendían hasta el tercio externo de la dentina no  había cavidad de caries; por el contario, el 72% de las lesiones que se extendían hasta 2/3 partes de la dentina tenían cavidad de caries (33) Las lesiones con cavidad de caries clínicamente o las lesiones con obvia radiolucidez en dentina (más profunda que el 1/3 externo) en la superficie oclusal están altamente infectada la dentina, debajo de la unión amelo-dentinaria (34,35)

Para establecer si una lesión ha progresado o no, se requiere la toma de dos radiografías con un lapso de tiempo entre ellas.

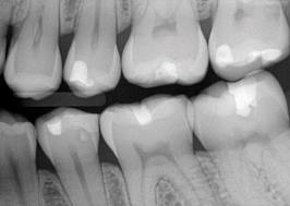
Si las radiografías están disponibles, el primer paso es clasificar las lesiones de caries coronal en dientes posteriores de acuerdo con los grados que están en la Tabla 4.

Sistema radiográfico ICDAS  (Radiografía Bite-Wing)

Sano

R0 No hay radiolucidez 

Estadios iniciales *

RA1 Radiolucidez en 1/2 externa del esmalte

RA2  

Radiolucidez en la 1/2 interna del esmalte ± UAD (Unión amelo-dentinaria)

Se lo considera aún un estadio inicial porque no hay dentina infectada )

RA3 Radiolucidez limitada al 1/3 externo de la dentina

Estadio moderado

(En este estadió comiemza la infección de la dentina por bacterias orales)

RB4 Radiolucidez que alcanza hasta el 1/3 medio de la dentina

Estadios severos

(Infección franca de la dentina)

RC5 Radiolucidez que alcanza hasta el 1/3 interno de la dentina, clínicamente cavitada

RC6 Radiolucidez en la pulpa, clínicamente cavitada

* Nota- La mayoría de lesiones confinadas al esmalte no se ven en las radiografías.

Tabla 4: Clasificación radiográfica ICDAS

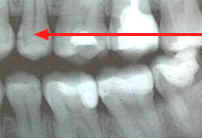
Radiografía de aleta mordible (Bite-Wing)

La técnica tiene ventajas con respecto a la radiografía periapical, debido que  reduce el tiempo de exposición a la radiación  y disminuye los costos y honorarios.

Técnica:

La cabeza del paciente se coloca de manera que el plano de oclusión quede paralelo al del piso. El rayo central se dirige al punto de contacto de los dientes superiores con los dientes inferiores y paralelo a sus superficies proximales, con el tubo formando un ángulo de 5 a 10º por encima del plano horizontal. Ver figura 5.

Para los dientes posteriores es deseable tomar dos vistas de cada lado:

  • una en la que la película  se coloca más atrás para incluir el espacio inter-proximal  entre el segundo y el tercer molar,

  • y la otra lo bastante adelante como para tomar la cara distal del canino. Solo necesita cuatro películas para el diagnóstico de caries en todos los sectores posteriores.

  • Cuando el tercer molar se encuentra en proceso de erupción y se observa solo una parte de la corona clínica a la inspección visual, es de utilidad diagnóstica general, una imagen de una radiografía periapical de esa pieza dental en particular.

Figura 5

El ICCMS clasifica radiográficamente las superficies posteriores de los dientes (36,37)  Se ha reportado que tanto la reproducibilidad como la precisión de este sistema de clasificación son de significativas (33) a excelentes (37)

La evidencia indica que la profundidad de penetración radiográfica en la que se puede predecir de forma confiable que la superficie del diente está cavitada y que la dentina está muy infectada, es cuando la radiolucidez está más alla del tercio externo de dentina (7,34,35,38,40). Esto corresponde a los códigos 4, 5 y 6 en el sistema de clasificación radiográfica de ICCMS. Ver tabla 6. En casos en que las tasas de progresión son rápidas, se puede esperar que en lesiones con clasificación 3 en el sistema descrito anteriormente, haya formación de cavidad.

Es importante saber que existen diferentes convenciones en diversos países para la clasificación de la severidad de las lesiones en los casos en los que se requiere manejo operatorio. Para poder reducir las variaciones a nivel internacional en este aspecto, se requiere mayor evidencia.

Finalmente, tanto la información radiográfica (cuando está disponible para dientes posteriores) y la valoración clínica terminan clasificando la lesión en las categorías de inicial, moderada o severa. Es importante reconocer la variación entre países en cuanto a la definición de la severidad de la lesión y su equivalencia radiográfica. Esta variación se reducirá en la medida que haya más evidencia.

Finalmente, tanto la información radiográfica (cuando está disponible para dientes posteriores) y la valoración clínica terminan clasificando la lesión en las categorías de inicial, moderada o severa.

Códigos

 ICDAS

Combinado

Sistema radiográfico ICDAS  ( R)

Sano (0)

Sano Caries Inicial Caries Inicial Caries Moderada

(Dentina infectada)

Caries Severa

(Dentina infectada)

Caries inicial (1-2)

Caries Inicial Caries Inicial Caries Maderada

(Dentina no infectada)

Caries Moderada

(Dentina infectada)

Caries Severa

(Dentina infectada)

Caries moderada (3-4)

Caries Moderada

(Dentina infectada)

Caries Moderada

(Dentina infectada)

Caries Moderada

(Dentina infectada)

Caries Moderada

(Dentina infectada)

Caries Severa

(Dentina infectada)

Caries severa (5-6)

Caries Severa

(Dentina infectada)  

Caries Severa

(Dentina infectada)

Caries Severa

(Dentina infectada)

Caries Severa

(Dentina infectada)

Caries Severa

(Dentina infectada)

Nota- La mayoría de lesiones confinadas al esmalte no se ven en las radiografías.

Tabla 6: Combinaciones ICDAS Combinado, (Completo) y categorías  radiográficas ICDAS

Nuevamente, es importante reconocer la variación entre países en cuanto a la definición de la severidad de la lesión y su equivalencia radiográfica. Esta variación se reducirá en la medida que haya más evidencia.

   
   

Dirección: Od. Marcelo Alberto Iruretagoyena

Wilde Provincia de Buenos Aires. Argentina

 Revisado: JUNIO 2020