|
Objetivo de la obturación del conducto radicular/es:
Establecer una barrera físico-química-biológica
tridimensional (3D) y permanente entre
el medio bucal y el medio interno de nuestro paciente. Para ello el
material de obturación debe tener cierto requisitos:
|
|
- Ser biocompatible. No ser irritante ó toxico. Ni actuar como
alergeno
- Estabilidad dimensional en función del tiempo. Que no tenga
contracción durante o después de endurecido
- Radiopaco en función del tiempo
- Hermético y adhesivo en función del tiempo
- Acción bactericida y/o bacteriostatica en función del tiempo
- Que la humedad residual del conducto no afecte sus propiedades
fisico-químicas
- Que tenga buenas propiedades
reológicas. Que sea capaz de
penetrar todos los espacios (conductos accesorios y delta apical)
- Que no pigmente la pieza dental
- Que sea fácil de eliminar del conducto, en caso de ser
necesario.
Lamento informarle estimado colega que no hay un material ideal que
reúna las características antes mencionadas.
Si hay una gran oferta de materiales de obturación que van desde los
de inserción rígida, como los conos de gutapercha modificados en la
actualidad con plastificantes y antisépticos, para un mejor desempeño
durante la obturación. Y los de inserción plástica que en su mayoría son
cementos a base de OZE; la gran variedad de aplicaciones
de los cementos eugenólicos es posible gracias a la modificación de sus
propiedades físicas que adecuan sus características según las
necesidades. A pesar del hecho comprobado de que los cementos a
base de eugenol pueden tener un efecto citotóxico sobre los tejidos; sus
propiedades analgésicas, antiinflamatorias, antisépticas y su satisfactorio desempeño
clínico, los mantienen como una buena elección como material de
obturación Hasta la fecha el cemento de Grossman es considerado el
Estandar de Oro, para los ensayos in vitro e in vivo de otros
cementos selladores para endodoncia.
¿Cómo elegir un material de obturación de conductos?
El material que usted debe elegir es subordinado al caso clínico a
tratar.
- No es lo mismo tratar una pulpitis
irreversible (clinicamente se observa una pulpa sangrante) , que
realizar un tratamiento de conducto en una pieza dental que ha tenido adenoflegmones a repetición, o donde ha fracasado un conducto
recientemente ó hay lesiones perirradiculares.
- Tampoco es lo mismo la obturación del
conducto en un diente deciduo, que un permanente joven, que no
ha logrado su apexificación.
- O donde hay una comunicación
iatrogénica reciente o de larga data, entre el sistema de
conducto y el periodonto.
Nosotros podemos dar una guía ó lineamientos generales, para
su uso en la clínica.
- Piezas dentales permanentes con infección aguda o
crónica con complicación periapical. (necropulpectomia total)
Nosotros optamos por un
material con excelentes propiedades
reológicas y antisepticas:
1.
Licon-D como sellador apical y conos de guta con técnica de
condensación lateal ó técnica de cono único (taper especial)
condensación vertical en caliente ó frío. También puede realizar el
tapón de Maisto con Licon-D (3mm desde el ápice) y luego obturar con
Grossmán , conos de guta, con condensación lateral ó cono único (taper
especial) en frión o caliente.
- Desventaja: Periodontitis post
tratamiento por las próximas 72 horas. En ocasiones el profesional
deberá sacar a la pieza dental de oclusión, haciendo un
ajuste oclusal con papel de articular. Puede requerir
analgésicos y antinflamatorios del tipo AINES o esteroideo,
según criterio del profesional.
- Ventaja: En el plazo de tres meses
puede haber reparación de la zona perirradicular.
(Técnica
Mínimamente Invasiva en el Tratamiento de Lesiones Perirradiculares)
dado que esta pasta es utilizada cuando hay imágenes de
lesiones perrirradiculares en las Rx
2. Pasta lentamente reabsorbible de Maisto
con
conos de gutapercha con condensación lateral, para llegar
a los conductos accesorios o delta apical.
- Ventajas: Al ser una pasta reabsorvible, la sobre obturación es eliminada
por los osteoclastos seguida con una reparación ósea. Quien
escribe ha vistos casos que la sobre obturación ha recorrido
la fístula hasta su salida por la misma, durante la
obturación con lentulo
- Desventajas: Al ser un material con un alto porcentaje
de yodoformo, en poco tiempo comienza un proceso de
sublimación que produce la pérdida de las propiedades
antisépticas; por este motivo debe ser retratado el
conducto y obturado con cemento de Grossman.
|
3. La Pasta EG para endodoncia de la casa EGEO srl
suele ser el
reemplazo para este tipo de complicaciones en piezas permanentes
junto con los conos de gutapercha en la técnica de condensación
lateral.
Esta última pasta es considerada un cemento a base OZn Eugenol.
- Ventajas: Al ser un cemento es más estable en función
del tiempo. Tiene buenas propiedades antisépticas por su
contenido de Yodo, Ca y Zn.
- Desventajas: Sus propiedades reológica no san tan buenas
con la pasta lentamente reabsorbible y si hay una
sobre obturación, el proceso de reparación suele durar entre
2 y 6 meses hasta la eliminación total del
material fuera del canal.
Cuando existe una sobre obturación ocasiona una periodontis que debe ser tratada con analgésicos y
antinflamatorios esteroideos o AINES. La causa de este
proceso se debe al eugenol y al yodoformo..En ocasiones el profesional
deberá sacar a la pieza dental de oclusión, haciendo un
ajuste oclusal con papel de articular.
4. Cemento de Grossman aún es el material más utilizado
en USA, por una gran cantidad de odontólogos y especialistas en
endodoncia. Es el cemento más estudiado y con el mayor
número de casos clínicos exitosos. Es utilizado con los conos de
gutapercha en la técnica de condensación lateral y técnica de
cono único con cono de conicidad especial (taper). (19) El eugenol, al igual
que otros compuestos fenólicos, son recolectores de radicales
libres los cuales inhiben el proceso de polimerización de los
materiales resinosos. La interacción entre estos materiales
produce un retraso en la reacción y una disminución del grado de
polimerización (20)
- Ventajas: bajo costo, de fácil preparación, buena
tolerancia en los tejidos periapicales. Excelente
estabilidad dimensional en función del tiempo. Buena
radiopacidad en función del tiempo. Buenas propiedades
reológicas. Endurece en presencia de humedad. Buenas
propiedades antisépticas debidas al oxido de cinc
- Desventajas: Al producir una sobre obturación, el
material no se reabsorbe. Produce las llamadas periodontitis
medicamentosas que suele durar unas 24 a 72 horas. Si existe
una sobre obturación con el cemento de Grossman, el
profesional deberá sacar a la pieza dental de oclusión,
haciendo un ajuste oclusal con papel de articular.
- Piezas dentales permanentes con
exposición pulpar importante y donde aún hay dentina infectada: (biopulpectomia
total)
1. Cemento de Grossman:
Ver iten anterior
2. Cementos a base de una resina epoxica:
el más conocido es el Sealer 26 que es un cemento a base
hexametileno tetramina con el agregado de dióxido de titanio,
trióxido de bismuto e hidróxido de calcio.
- Desventajas: Decoloración
de la corona dental, por eso el Sealer 26 debe ser removido
de la cámara pulpar para realizar la obturación coronal. Y
si usted usa el agua oxigenada como irrigante, asegúrese de
eliminarla por completo con irrigación de hipoclorito de
sodio y/o solución fisiológica; dado que vestigios de agua
oxigenada no permite su endurecimiento, por lo tanto se
obtiene un sellado deficiente.
- Ventajas: al no poseer eugenol, (19, 20) yodo,
yodoformo, y otros materiales que pueden intervenir en la
reacción de polimerización de los adhesivos a dentina
y esmalte. Permiten una técnica restauradora del tipo
adhesivo, lo cual mejora el pronóstico de permanencia en boca
de la pieza dental restaurad
- Piezas dentales temporales con necrosis
del órgano pulpar:
- Cercanas a su exfoliación natural (Hasta un año): pasta
rápidamente reabsorbible de Maisto
- Lejanas a su exfoliación natural (Más de un año): pasta
lentamente reabsorbible de Maisto ó Licon-D
- Piezas dentales con
perforaciones iatrogénicas en su sistema de conductos:
- El
Cemento Portland Modificado
(CPM)
es
utilizado en endodoncia para sellar las comunicaciones iatrogénicas
recientes, entre el sistema de conductos radiculares y el
periodonto. Para las comunicaciones de larga data,
con imagen perirradicular positiva; recomendamos
Licon-D
|
 |
|
|
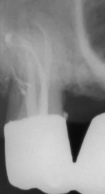
Técnica de condensación lateral
Esta técnica es la más utilizada por odontólogos y
especialistas.
Se realiza con un cemento sellador y conos de gutapercha. Se
ubica un cono de gutapercha acorde al diámetro del instrumento
que ha mecanizado la zona apical, en este caso fue una lima Nº
25. Ver imagen derecha (1)
El cono maestro Nº 25 se embadurna con el cemento sellador y
se lo hace llegar hasta el fondo del ápice, luego con un
espaciador digital Nº 25 se presiona hacia el fondo y contra las
paredes del conducto (2), con esto se logra una
condensación lateral para que el cemento sellador penetre el
delta apical y conductos accesorios (3)
Mientras se genera espacio con el condensador digital Nº 25,
se adicionas mas conos accesorios del 25, hasta obturar el
conducto radicular en su totalidad.
El mayor volumen de obturación está determinado por los conos
de gutapercha, mientras el cemento sellador queda limitado como
obturador de los conductos accesorios y túbulos dentinarios.
(1,2,27)
Gráfico del corte
transversal de una pieza dental y su conducto, mostrando la
secuencia de condensación lateral:
 |
- Cono maestro insertado
Ver
conometria.
- Cemento y cono maestro insertado, en gris oscuro
condensador digital presionando lateralmente al cono maestro
para hacer espacio para un cono accesorio
- Espacio dejado por el espaciador digital para el cono
accesorio
- Colocación de un nuevo cono accesorio y colocación del
condensador digital, para generar un nuevo espacio.
- Colocación de otro cono accesorio.
- Y se realiza un nuevo espacio con el condensador
digital. Así sucesivamente hasta el relleno tridimensional
de conos y cemento sellador.
Nota: los conos provistos
por los fabricantes no se encuentran estandarizados
como las limas, por ello los endodoncistas suelen
usar el Calibrador de Conos de Guta Ver imagen
izquierda |
|

|
|
 |
|
Técnica del cono único y
condensación vertical
Los fabricantes de conos de
gutapercha producen conos con conicidades especiales (taper) que
coincide con la última lima mecanizada de tratamiento.
-
La técnica en si consiste
en poner el cemento sellador en el tercio apical del cono.
-
lleve el cono con el
cemento sellador a la preparación, hasta hacer tope,
-
corte el exceso del cono
con una espátula calentada en el mechero
-
luego con un condensador
calentado con el mechero, del mismo diámetro que el cono, realice una presión vertical
moderada para que el cono encaje en toda la longitud de
trabajo del conducto; y el cemento refluye por los canales
accesorios. Ver imagen derecha.
|
|
Bibliografíia |
|
|
Siguiente página |
|