|
Apertura de acceso y morfología
dentaria en molares |
|
E-mail:
Od.
Marcelo Alberto Iruretagoyena
|
|
Molares superiores |
|
Un tratamiento de endodoncia
presenta algunos
problemas específicos como la necesidad de localizar los
orificios de entrada de los conductos, estos suelen ser
muy pequeños y a demás de que el campo suele ser oscuro,
debido a la dificultad para iluminar la cavidad de
acceso. |
|
1º Molar Superior |
|
 |
 |
|
La flecha
amarilla indica un posible cuarto conducto. Debe
abrir hacia mesial para eliminar la pared
marcada en un circulo celeste, a la misma
profundidad que el conducto mesio-vestibular.
Ver imagen derecha. |
|
Entradas de los conductos que más frecuentemente
se hallan en los primeros molares superiores(1,2,23,27):
|
Como método
para ubicar los orificios de entrada de los conductos
solemos utilizar la transiluminación dentaria.
El conducto
y el orificio es
esencialmente
un agujero en
la raíz,
la
transmisión de luz
muestra
al orificio de entrada del conducto como una mancha
oscura en un fondo brillante. Ver imagen izquierda
superior,
la siguiente imagen es el resultado de utilizar una
cámara intraoral, con 10 aumentos (X10)
|
 |
| En la
imagen derecha se observa el dispositivo de
transiluminación dentaria |
 |
|
 |
En fecha
reciente se ha incorporado a la clínica la
utilización del microscopio operatorio (MO)
El poder de
magnificación del MO con visión indirecta y
luz coaxial permite localizar las entradas
de los conductos calcificados. Incluso los
más pequeños y difíciles de ver como el
conducto mesio-palatino (Ver flecha amarilla
imagen superior izquierda)
|
|
2º Molar superior
Entradas de los conductos que más frecuentemente
se hallan en segundos molares superiores (1,2,23,27):
|
Usualmente las raíces se encuentran fusionadas y sus
conductos son casi paralelos entre sí, lo que
determina superposición de los conductos en las
películas radiográficas |
|
 |
|
Molares Superiores |
Número de conductos |
% |
|
1º |
3
|
30 |
|
4
|
70 |
|
2º |
3 |
50 |
|
4 |
50 |
|
|
|
 |
|
 |
|
Observe en la
imagen superior la dentina secundaria de
color blanca que obstruye la entrada de los
conductos. Imagen X10 cámara intraoral. |
|
 |
|
Pieza dental 17 en apariencia tres conducto. |
|
|
|
Molares inferiores |
|
1º molar inferior (1,2,23,27)
-
En azul conducto mesio-vetibular
-
En verde conducto mesio-lingual
-
En rojo conducto distal
-
En amarillo un cuarto conducto,
si el conducto distal se encuentra desplazado hacia lingual,
existe una alta posibilidad de encontrar un cuarto conducto
|
  |
|
Tres
conductos en piso de cámara pulpar, el conducto
distal se encuentra ensanchado en sentido
buco-lingual, debe sospechar la existencia de
dos conductos que comparten el orificio de entrada.
Cámara intraoral X10 aumentos. |
|
 |
|
 |
|
Molares inferiores |
Número de conductos |
% |
|
1º |
3
|
30 |
|
4
|
70 |
|
2º |
3 |
50 |
|
4 |
50 |
|
|
| 2º molar inferior (1,2,23,27)
Similar al primer molar inferior pero menos voluminoso, en la
raíz mesial siempre encontrará dos conductos y en la raíz distal
puede encontrar uno ó dos conductos.
-
En azul conducto mesiovetibular
-
En verde conducto mesiolingual
-
En rojo conducto distal
-
En amarillo un cuarto conducto,
si el conducto distal se encuentra desplazado hacia lingual,
existe una alta posibilidad de encontrar un cuarto conducto
 |
|
 |
|
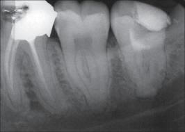
Rx de
molares inferiores mostrando la
disposición de las raíces y sus
conductos. |
|
|
|
| 1º Molar
inferior: El orificio de entrada del
conducto distal se encuentra ensanchado
en sentido buco lingual, debe sospechar
la existencia de un cuarto conducto.
La localización
de un cuarto conducto se lleva a cabo
con la
técnica radiológica de Clark
o por
medio de una lima curvada en distal para
sondear la pared lingual ó vestibular
del conducto distal. Imagen inferior |
|
 |
|
|
|
 |
|
 |
|
DS:
dentina secundaria de color más claro. Cámara
intraoral X10 aumentos. |
|
|
|
Siguiente
página |
| Bibliografíia |