|
|
 |
- No hay curva frontal (Wilson)
|
 |
- No hay curva sagital (Spee)
|
 |
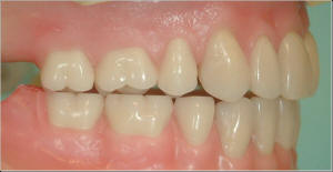
- Hay overjet
- 2 mm en clase I esqueletal
- más de 2 mm en clase II esqueletal
- Casi no hay overjet en clase III
esqueletal
|
|
- El desbordamiento horizontal posterior
debe ser de tal amplitud para evitar el mordisqueo del carrillo
y evitar el contacto de las cúspides vestibulares en céntrica y
excéntrica.
|
|
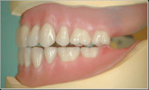
- No hay overbite (sobremordida vertical)
|
|
- Oclusión balanceada (en protrusión se
realiza con rampas)
- En excéntricas las cúspides palatinas
contactan con las superficie oclusal plana de los molares
inferiores y las rampas
|
|
 |
 |
 |
| Protrusión |
Lado de trabajo |
Lado de balance |
|