|
Montajes de los dientes anteriores
para una estética natural |
|
Fotos de la "Guía para Prótesis
de Completa de Vita" Páginas 85 a la 87 en pdf. |
|

|
|
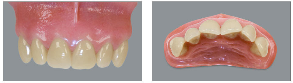
Dientes ligeramente rotados alrededor del eje
vertical. Aspecto femenino |
|
|

|
|
Tipo masculino: Caninos y centrales
prominentes |
|
|

|
|
Posición en mariposa de los incisivos centrales
combinada con el posicionamiento típico de los incisivos laterales
(Tipo femenino) |
|
|

|
|
Incisivos centrales ligeramente retruídos por
incisal e incisivos laterales con protrusión algo más dominante.
(Tipo femenino) |
|
|

|
|
"Forma de arcada rota " los montajes de los
dientes se corresponden con facetas de protrusión. |
|
|

|
|
Arcada dentaria con ligeras rotaciones alrededor del eje vertical. |