|
 |
 |
 |
|
Tallado de las caras
mesial y distal con puntas de diamante troncocónicas de
extremo redondeado |
|
 |
 |
 |
|
El tallado se continua
por vestibular y palatino |
Vista palatina del
tallado |
|
 |
 |
 |
|
Reducción del borde
incisal |
Dejar suficiente espació
para la porcelana por lo menos 2 mm o más |
Ver el hombro realizado
en palatino que debe ser supragingival |
|
 |
 |
 |
|
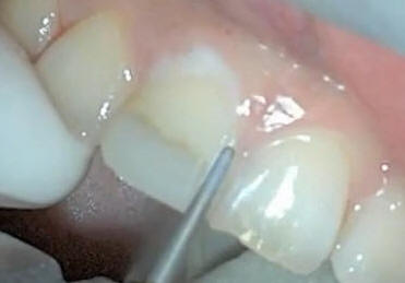
Los hombros en esmalte
son muy marcados |
Con una punta de oxido
de aluminio se redondea el hombro y se pule para una mejor
adaptación de la porcelana |
|
 |
 |
 |
|
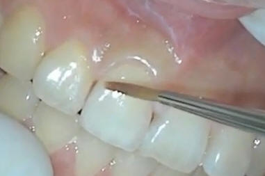
Levando el hombro
a subgingival solo en vestibular |
Con puntas de diamante
de grano extrafino se elimina el esmalte sin soporte en mesial y distal |
|
|
Confección del provisorio: |
 |
 |
 |
| Toma del color para
provisorio |
Ver ajuste de l
provisorio estandard |
Ajustar con piedra o
fresa para acrílico el hombro del provisorio |
|
 |
 |
 |
| El ajuste no debe comprimir la encia,
debe legar al borde de la preparación |
Cargando acrílico de autocurado del
matiz del diente homologo |
Envaselinar el muñón |
|
 |
 |
 |
|
Ajustar la corona
provisoria con acrílico de autocurado (rebase) |
Retocar y volver a
ajustar. |
|
|
|
El provisorio llegua al
borde de la restauración. Eliminar mango identificatorio de
la corona y desgastar incisal hasta la misma altura l del
homologo. Y chequear oclusión |
|
|
Impresión o registro
dental: |
|
 |
 |
 |
|
Aplicar la silicona
fluida directo en la restauración por mesial vestibular ,
distal y palatino para no generar burbujas. |
|
|
 |
|
|
Con una cubeta estandard y
silicona pesada impresionar el arco superior. Correcto
registro para generar el modelo de trabajo. Observe el
hombro en la impresión con silicona |
|
| Cementado del provisorio: |
|
 |
| Cementar el
provisorio a presión digital, con un cemento a base de
silicona. |
|
| 2º
Cita. Prueba del biscocho de la alúmina: |
|
 |
 |
 |
|
Retirar el provisorio
desde palatino con un baja puente |
Retirar
remanente de cemento en el borde cabo superficial de la
restauración |
|
 |
 |
 |
|
Probar el el ajuste del
biscocho, debe llegar hasta el borde cabo de la restauración
y debe tener estabilidad buco-palatina Chequear
oclusión con papel de articular . En este caso no se tomo
registro intermaxilar y antagonista dado que el paciente
presenta una buena alineación tridimensional. El técnico al
lograr la morfología de la pieza dental homologa, no fueron
necesarios los registros intermaxilares. Esto solo lo
hacemos cuando reponemos una sola pieza dental en un arco
con una buena alineación tridimensional; en caso de ser dos
o más, los registros intermaxilares y modelo antagonista son
expresamente necesarios. |
|
 |
 |
 |
| No debe haber enganche
cuando se pasa una sonda |
Matizar con
modificador de color para resina compuesta, es útil como
comunicación con el técnico dental |
|
 |
|
Retirar la corona sin
modificar la resina usada para modificar color |
|
| 3º
Cita. Cementado de la alúmina: |
|
|
 |
 |
 |
|
La corona alúmina
terminada se prueba nuevamente para ver tono y matiz
correcto |
Cementar con resina con
modificador de color |
|
 |
 |
 |
|
Aislar y secar la zona
para el cementado, dejar endurecer para luego quitar los
excesos de material sin dañar los tejidos blandos. Corona de
alúmina instalada. |