Salud Dental Para Todos

 
 

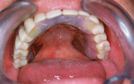
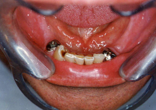
PPR con retenedores estéticos (Ball atache intracoronario a perno )

E-mail: Od. Marcelo Alberto Iruretagoyena

Caso clínico:

Perno colado tipo Richmond con ball atacche

Vistas de las PPR con sus ataches

Caso terminado