|
Prueba del enfilado dentario |
|
E-mail:
Od.
Marcelo Alberto Iruretagoyena
|
|
Es la etapa
clínica de
probar
los dientes artificiales con el paciente, para verificar : |
-
Estética
-
Fonética
-
Plano
de oclusión
-
Relación intermaxilar
-
Oclusión
|
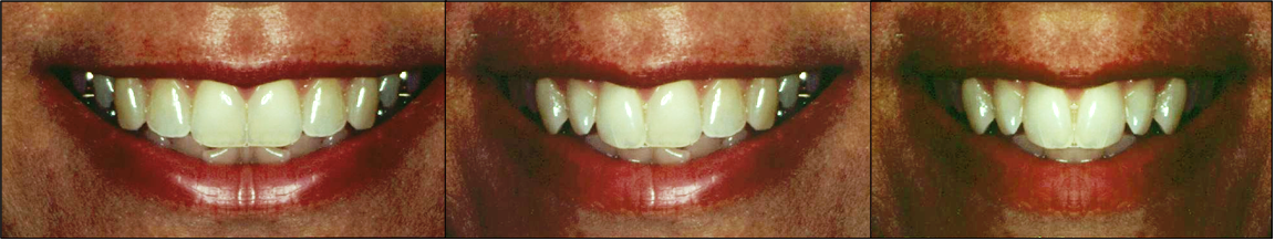
1- Estética
Recuperación del
las proporciones anatómicas del tercio inferior de la cara con respecto a
los dos tercios superiores , en el plano frontal y sagital. Para ello
necesitamos la aprobación del paciente y de ser posible de un eventual
acompañante
|
 |
 |
|
|
Antes |
Después |
| A- Soporte labial:
El ángulo nasolabial debe ser de 90º si esto no se cumple tendrá
insuficiente soporte labial y el bermellón del labio se verá
reducido. |
 |
|

|
 |
 |
|
Insuficiente soporte labial por
disminución de la dimensión vertical oclusiva |
Buen soporte
labial por una acorde dimensión vertical oclusiva |
Excesiva dimensión vertical permite
la elección de dientes muy grandes |
|
La unión de la mucosa oral solamente
debe ser visible cuando los labios son ligeramente separados. Si no es visible hay insuficiente soporte.
Fotografía derecha.
| Los labios se encuentran en la unión del
epitelio oral y la mucosa de transición. |
 |
|
 |
| B- Línea de la sonrisa: los dientes superiores deben seguir
la línea que dibuja la superficie del labio inferior. |
 |
 |
 |
|
|
C- Evite " La sonrisa de dentadura
postiza"
- Dientes demasiados pequeños.
- Dientes que no se muestran demasiado
- Dientes que solo se ven al mascar o al sonreír.
- Dientes muy parejos que se parecen a un teclado de
piano
|
 |
 |
|
D- Pasillo bucal: es el espació que debe existir entre los
premolares y el carrillo, y se observa de color oscuro
Los dientes muy grandes disminuyen el pasillo bucal.
Cuando este espacio se invade con los dientes, no se observa el
pasillo bucal.
|
 |
 |
|
 |
|
 |
|
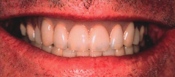
E- Cuellos dentarios: al sonreír el borde inferior del labio superior debe
relacionarse
con
el cuello de los dientes antero superiores. Lo normal es que no se vea
encía. Recordemos que en un desdentado total la encía es acrílico
rosado,
y delata la presencia
de algo artificial |
 |
 |
|
| F- Línea media: de los incisivos debe corresponderse con
la línea media del
rostro del paciente, puede tener un desvío de un milímetro a
la derecha o izquierda., para parecer mas natural |
 |
|
 |
| G- Suficiente espacio para la lengua, este espacio se realiza tirando una línea imaginaria que va de distal de canino hasta la papila retromolar
Al paciente se le hace abrir un poco la boca y se le pide que protruya la lengua entre las arcadas dentarias, la prótesis inferior no debe sufrir desplazamiento. |
 |
| H- Covexidad de la
encía protética: El contorno de la encía
vestibular protética debe ser convexa como lo muestra la figura
A Si es cóncava
como en la figura B los detritus alimenticios
quedaran confinados en la zona vestibular, dado que la lengua no
alcanza esa zona para realizar la auto limpieza. |
 |
|
|
2- Fonética |
- Los incisivos centrales superiores deberían tocar
suavemente el labio inferior para los sonidos de las letras "F" y "V".
- Los sonidos de la letra "S" se logra con acercar los bordes incisales de
los dientes superiores e inferiores
|
 |
 |
|
|
|
|
 |
- En celeste zonas de contacto de
la lengua cuando se produce el
sonido "S". Un paladar abultado
produce ceceo, en color rojo.
|
 |
|
- Demasiado overjet: mas de 2 mm.
produce ceceo
|
 |
| |
| |
|
|
|
 |
|
 |
 |
 |
|
Arco dental
muy amplio |
Arco dental
correcto |
Arco dental
muy cerrado |
|
|
|
|
3- Plano de oclusión
El paciente al sonreír, nos permite también evaluar el
plano de oclusión. Podemos verificar si es paralelo al plano de Camper
y a la línea bipupilar, utilizando la regla
de Fox sobre los dientes artificiales del enfilado superior.
|
|
4- Relación intermaxilar
Dimensión vertical oclusiva:
- El tercio inferior , tomado como un sector que va desde la base
nasal hasta el borde del mentón debe ser proporcional a los dos
tercios superiores de la cara.

- El paciente en reposo y con el plano mandibular paralelo al piso;
debe tener un espacio de 2 a 4 Mm. entre las cúspides de las prótesis. Se
llama posición postural de reposo
- El paciente debe deglutir con naturalidad.
Control de la relación céntrica oclusiva:
- El paciente al ocluir debe coincidir el engrane cúspide a fosa
- Si se verifica dos registros de oclusión. debe tomar un nuevo
registro de oclusión en céntrica esto se hace de la siguiente manera:
- Quite los dientes posteriores de una de las
prótesis.
- Agregue un rodete de cera en lugar de los dientes
- Caliente la espátula para cera con el mechero
- Funda la cera con la espátula caliente.
- Coloque las prótesis en boca
- Diga al paciente que la punta de la lengua la ubique en el sector
más posterior del paladar, tocándolo.
- En ese momento indique morder el registro de cera, hasta que haga
contacto con los dientes anteriores; así se mantiene la dimensión
vertical oclusiva. Para ello debe tener un espejo de mano.
- Realice la remonta del modelo superior y verifique la
discrepancia.
- En caso de discrepancia debe realizar un nuevo enfilado dentario.
- Si la discrepancia continua:
- Hay pacientes que tienen múltiples registros
de mordida, debido a la utilización de prótesis totales desadaptadas, y cuyas oclusales
se observan planas.
- En este caso debe evaluar la capacidad
funcional del sistema masticatorio del paciente para seguir con el
tratamiento acordado de prótesis lingualizada. Si es así el
paciente debe adaptarse a la nueva posición de la mandíbula y su
relación intermaxilar.
- En caso de no ofrecer el paciente una buena
adaptación masticatoria, por edad avanzada; debemos realizar la prótesis
con el esquema de oclusión monoplano, o también llamado cúspides de 0º.
|
|
5- Oclusión.
- Con el papel de articular verifique los contactos dentarios
en "céntrica"
- Tenga en cuenta que en una completa lingualizada debe encontrar
contactos firmes en cúspides palatina de premolares y
molares superiores y en fosas centrales de
premolares y molares inferiores, en oclusión céntrica.
- En dientes anteriores no debe haber contactos firmes
en oclusión céntrica .
- El ajuste oclusal en
excéntrica se realiza con el registros intraoral, en silicona
por adición, durante la prueba del enfilado.
- Estos registros intraoral derecho e izquierdo, debe
ser
remitido al técnico dental para programar el articulador y luego
realizar el ajuste oclusal de los dientes en excéntrica
|
 |
 |
|
Registro en céntrica para remonta en articulador |
Montaje en articulador para el desgaste en
céntrica |
|
 |
 |
|
Observe los contactos oclusales
en "céntrica " |
 |
 |
|