| |
|
Salud
Dental
Para Todos |
| |
|
Microscopía acerca de las lesiones
blancas |
|
Escuela Dental de la Universidad del Sur de
California. U.S.A.
|
|
|
|
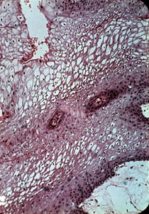
Hiperqueratosis
Antes de ilustrar las varias lesiones blancas de la
mucosa oral, es importante entender por qué una área puede
parecer blanca. La luz
no refleja la hemoglobina de los vasos sanguíneos, debido a un
obstáculo. Se ilustran razones para este obstáculo en las próximas
seis imágenes.
El término "leucoplasia " es dado por parecer
un parche blanco, puede
aplicarse a muchas enfermedades diferentes de la mucosa y no afirma una
entidad específica. El exceso de formación de queratina madura
(hiperqueratinización) probablemente es la causa más común para una
lesión parecer blanca. La capa roja espesa de material que cubre el
epitelio es queratina.
|
 |
|
Paraqueratosis
La formación de queratina inmadura (paraqueratosis)
puede causar el mismo efecto. La paraqueratina son células epiteliales
con queratina y donde los núcleos picnoticos todavía están presentes.
A menudo la ortoqueratina y
paraqueratina están juntas, presentes en una sola lesión |
 |
|
Acantosis
Es el aumento de grosor del epitelio (acantosis) tiene el
efecto de poner un obstáculo entre el tejido vascular y el observador.
Generalmente, la acantosis se refiere al aumento
del epitelio debido al aumento del número de células.
(hiperplasia) |
 |
|
Edema
intracelular
De vez en cuando, el epitelio puede coleccionar
fluido intracelular
y puede volverse edematoso. El término correcto es "espongiosis
". |
 |
|
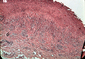
Inflamación
La intensa inflamación crónica en el tejido conjuntivo
también tiene una tendencia a bloquear la reflexión de la luz
roja. Esta micrfotografía ilustra como la inflamación crónica
puede evitar también la reflexión de la luz. Tiene el efecto de
espesar el área entre la superficie y los vasos sanguíneos
subyacentes. |
 |
|
Uulceración
e Inflamación
De vez en cuando, las áreas ulceradas tienen una
apariencia amarillento-blanca debido a la deposición de una capa espesa
de exudado del coágulo sobre la superficie. Esto se ilustra bien en esta
microfotografía de poco aumento y
explica la apariencia clínica de muchas úlceras aftósicas . |
 |
|