Salud Dental Para Todos

 
 

Herpes recurrente

Escuela Dental de la Universidad del Sur de California. U.S.A.

Click en las imágenes para ampliar.

La infección  herpética recurrente aflige a muchas personas y normalmente son conocidas como "heridas frías." 

Involucra los labios y la piel. Es menos común encontrarlas dentro de la boca y es bastante única en su apariencia.

La infección  del herpes recurrente tiende a desarrollarse a partir de una irritación local o trauma, se observa  más a menudo por la exposición solar, fiebre, irritación local y procedimientos dentales. 

Todos los pacientes que manifiestan  herpes recurrente tienen anticuerpos circulantes al Herpes simplex.

Ésta es la apariencia típica de una infección temprana recurrente. Los pacientes primero sienten una sensación de quemazón  o picazón  en el área y después de esto se desarrollan las vesiculas. Es bastante doloroso e involucra el borde del labio.

Varios días después el paciente de la  imagen 14 aparece en esta imagen. Las vesículas se rompen dejando un exudado hemorrágico.

Estas lesiones sanan dentro de diez a catorce días y generalmente no dejan cicatriz. Las lesiones recurrentes tienden a desarrollarse por la mismos factores, mencionados anteriormente.

Este paciente desarrolló varias lesiones que involucran  el labio superior e inferior; después de un día de playa.
Éste es un estudiante dental con historia de herpes labial recurrente durante años. Se obsrvan vesiulas y erosiones en el borde del labio.

Estas son sumamente contagiosas en esta fase.

Se ilustra aquí la infección herpética del dedo del paciente anterior.

Él había tocado la lesión del labio en forma frecuente y desarrrolló un  "panadizo  herpético."  El Herpe simplex es sumamente contagioso, y se puede inocular en cualquier parte de la piel o mucosas.

La mayoría de las lesiones de herpes recurrente involucra la piel y el borde del labio. Cuando se desarrolan en el interior de la boca las lesiones se limitan a la encía, como se muestra aquí. Un acúmulo muy pequeño y localizado de vesiculas.
La mucosa del paladar es a menudo afectada por esta condición. Aquí hay grupo pequeño de vesículas.

 Éstas se romperán dejando un grupo de úlceras pequeñas, bien demarcadas que sanarán en aproximadamente diez días.

Se observan lesiones pequeñas ulceradas pero abarcando un área más extensa que el caso anterior. La sintomatología dolorosa se agrava por la extensión de las lesiones.
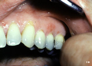
Este paciente desarrolló herpes recurrentes en la mucosa cercana al primer  molar dónde se había preparado una incrustación onlay recientemente.

Varias áreas de ulceración involucran a la mucosa cercana a la  restauración. 

Es sumamente  raro para los herpes recurrentes involucrar  a la mucosa yugal. Cuando las lesiones recurrentes se asientan en la mucosa movible, debe excluir otras enfermedades como el pénfigo, liquen plano erosivo y el eritema multiforme

Volver