Escuela Dental de la Universidad del Sur de
California. U.S.A.
El granuloma
piógeno es una proliferación exuberante de tejido de granulación
debido a una reacción exagerada a una irritación. No es una infección.
Aquí hay un
ejemplo típico degranuloma
piógeno vascular, focalmente ulcerado. Éstos son generalmente
asociados con algún tipo de irritación local; en este caso es
probablemente el aparato ortodóntico. Por el color usted puede ver que
la lesión es notablemente vascular y está casi exclusivamente
compuesto de tejido de granulación.
Aquí hay
otro ejemplo típico ocurriendo en el mucosa edéntula. Incluso la
irritación más ligera puede causarhemorragia. Un granulomapiógenopueden crecer rápidamente y pueden simular un tumor maligno;
obviamente, el diagnóstico preciso requiere de la biopsia.
Éste es un
granuloma piógeno raro, hay considerable tejidonecrótico y exudado superficial. Tres semanas de crecimiento
rápido y la apariencia clínica parecen ominosa, pero estas lesiones
son generalmente inocuas.
Este
granuloma piógeno del labio de un estudiante dental es la consecuencia
del hábito delmordisqueado
del labio. No hay cicatrización debido al hábito, más la acumulación
de material necrótico.
Irritación
menor que causa proliferación de tejido de granulación excesiva, puede
indicaruna enfermedad
sistémica. Ésta es una mujer de 25 años de edad, que padece de diabetes desde los
8 años de edad.
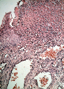
Note la
ulceración y el exudado inflamatorio en la superficie. Debajo hay
muchos capilares congestionados.
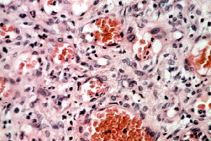
Se observa
a mayor resolución la proliferación vascular con gran cantidad de
neutrófilos. Ésta es la apariencia típica de tejido de granulación y
estas lesiones están casi exclusivamente compuestas por este tejido.
A una mayor
resolución de la imagen anterior se observan la células endotelialesagrandadas e hipercromáticas. Por ello estas lesiones crecen en
forma muy rápida.