Salud Dental Para Todos

 
 

Clínica del carcinoma in situ

Escuela Dental de la Universidad del Sur de California. U.S.A.

Click en las imágenes para ampliar.

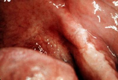
Debido a las  consideraciones sobre microscopía antes mencionadas, es fácil entender por qué el carcinoma  in situ de color  rojo pequeño en el piso de boca es difícil ver.
El carcinoma in situ en paladar es muy peligroso. 

Cuantas lesiones similares como en la fotografía ha dejado pasar en la clínica sin un diagnóstico.

¿Es necesario que usted las detecte?

 

Esta lesión resultó ser un carcinoma in situ, después de realizar la respectiva biopsia.

Es una situación aterradora cuando usted comprende el potencial de esta enfermedad

 

Volver