Salud Dental Para Todos

   
         
   

 

 

ICDAS: Pruebas complementarias para el diagnóstico de caries

E-mail: Od. Marcelo Alberto Iruretagoyena

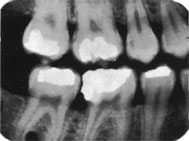
Radiografía de aleta mordible (Bite-Wing) 

La técnica tiene ventajas con respecto a la radiografía periapical, debido que  reduce el tiempo de exposición a la radiación  y disminuye los costos y honorarios.

Técnica:

La cabeza del paciente se coloca de manera que el plano de oclusión quede paralelo al del piso. El rayo central se dirige al punto de contacto de los dientes superiores con los dientes inferiores y paralelo a sus superficies proximales, con el tubo formando un ángulo de 5 a 10º por encima del plano horizontal.

Para los dientes posteriores es deseable tomar dos vistas de cada lado:

  • una en la que la película  se coloca más atrás para incluir el espacio inter-proximal  entre el segundo y el tercer molar,

  • y la otra lo bastante adelante como para tomar la cara distal del canino. Solo necesita cuatro películas para el diagnóstico de caries en todos los sectores posteriores.

  • Cuando el tercer molar se encuentra en proceso de erupción y se observa solo una parte de la corona clínica a la inspección visual, es de utilidad diagnóstica general, una imagen de una radiografía periapical de esa pieza dental en particular.

Técnica de Bite-Wing

 
Debe tener en cuenta el tiempo de exposición y  el kilovoltaje  del equipo radiográfico, como la sensibilidad de la película radiográfica.
A modo de ejemplo con una película tipo  Speed y un  kilovoltaje de 65;  el tiempo de exposición es de 0.8 segundos en zona de molares. En Premolares y Caninos 0.7; y en Incisivos 0.6 segundos.
 
A mayor kilovoltaje Menor tiempo de exposición
A mayor velocidad de la película
   
   

Dirección: Od. Marcelo Alberto Iruretagoyena

Wilde Provincia de Buenos Aires. Argentina

 Revisado: JUNIO 2020